CONICET: una proteína podría ser clave contra el cáncer de colon
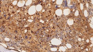
Científicos del Conicet estudian el rol de una proteína que podría ser clave para hallar una nueva terapia contra el...
Científicos del Conicet estudian el rol de una proteína que podría ser clave para hallar una nueva terapia contra el...
Profesionales de la Facultad de Farmacia y Bioquímica de la UBA alertaron sobre la amenaza que representa la resistencia a...
El Premio Beca de la 18° Edición del Certamen Nacional L’Oréal-UNESCO “Por las Mujeres en la Ciencia” 2024 fue para...
La investigadora del Conicet Paula Angelomé ganó el Premio Nacional L’Oréal-Unesco “Por las Mujeres en la Ciencia”. En esta 18º...
Un equipo de científicos en la provincia de La Pampa desarrollaron una molécula innovadora que muestra un gran potencial en...
La Anmat aprobó el Kit Detect-AR Dengue TEST de ELISA NS1, el primer test de antígeno nacional para el diagnóstico...
Un estudio del investigador del Conicet Gabriel Rabinovich y científicos de la Universidad de Oxford reveló un nuevo blanco terapéutico...
El Conicet y Merck anunciaron el proyecto ganador del Premio Merck – Conicet de Innovación en Ciencias de la Salud....
El investigador del Conicet Fernando Muñoz es uno de los responsables del proyecto internacional Se4All, que financia la Comunidad Europea....
La científica del Conicet María Florencia Cayrol obtuvo el Global Research Award 2024 para avanzar con líneas de investigación que...